Applications of Nanofibers
Applications of nanofibers below are currently thought to be promising, and research in such fields is progressing at many colleges, laboratories and corporations.
Healthcare
Regenerative medicine, wound treatment, drug delivery system
Environmental engineering
Water filter, dust filter, face mask
Functional goods
Functional clothes, functional food
Electronic materials
Battery materials, high conductivity materials, transparent conductive film
Healthcare

Japanese ministry of economy and industry reports that the market size of goods related to regenerative medicine is presumed to be USD150billion worldwide and USD13billion in Japan. On the other hand a sales record of such products approved by FDA is USD 1billion in 2012 in U.S.A., a leading country in industrializing regenaratve medicine.
One of the applications is the artificial blood vessels made by Tokyo Denki University shown in Fig. 6.
The group of Prof. Funakubo is developing artificial blood vessels and organs in the field of regenerative medicine.

The group is reportedly making experiments to implant artificial blood vessels in rats’ bodies.
In such research use of nanofibers is thought to be advantageous in manufacturing 3D structures and scaffold materials of cells.
Other than the field of regenerative medicine applications are being developed in wound treatment, drug delivery system and dosage form.
Environmental engineering
A face mask to which nanofibers are integrated.
(from the website of Teijin Corporation)
1 Outer: Prefilter
2 Center: High-performance filter
3 Inner: Nonwovens compounded of Nanofront® nanofibers
In the field of environmental engineering nanofibers are well known with products such as filters or face masks.
Targeted molecules can be eliminated at high efficiency with water processing filters made of nanofibers making use of their high performance of filtering.
As one of the applications filters to eliminate cesium are under development. Extremely small particles of cesium, which were not collected only with meltblown nonwovens, can be collected by integrating nanofiber nonwoven layers to meltblown nonwovens.
(From the patent publication list)
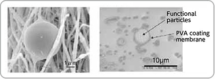
Functional goods
Nanofiber nonwovens containing functional particles
(from the patent publication list)
In recent years some research results report that a variety of textiles can be spun using not only a single and simple nanofiber but also composite materials of textiles, composite materials with particles or coating materials of functional objects.
A cooperative team of University of Lincoln in England and Iranian Food Science and Technology Research contributed a total analysis of electrospinning method adequate to using for foods to “Food Hydrocolloids” an academic journal.
Dr. Nick Tucker of University of Lincoln, one of the authors explains that the electrospinning method helps new supplementary food compound be produced, and design and performance of delivery system be progressed in this article. That is, nanofibers spun with the electrospinning method are expected to be used for food delivery system to protect nutritions between processing and storage or during transfer to another location inside a body.
Electronic materials
Transparent conductive film
(from the website of Tokyo Institute of Technology)

In the field of electronic materials nanofibers are expected for applications such as:
- Electrodes or separators for high efficiency solar batteries, fuel cells, and secondary batteries.
- Transparent conductive filters (electrodes) for displays, touch panels and functional glass.
The group of Associate Professor Matsumoto at Tokyo Institute of Technology is developing transparent conductive films, which are expected to be replacements for ITO that is currently used for electrodes and display panels.
Those films feature that they have as high visible light transmission rate as that of ITO at 80% and high conductivity at 45Ω/sq of surface resistance, and they are very thin, light, flexible and unbreakable.